東葛の健康 No.347(2013年6月号)
東葛病院の医療【感染症】
ことし風疹が大流行!
胎児の先天性風疹症候群を防ごう
風疹が大流行しています。妊婦さんが感染すると、先天性風疹症候群を起こすことがあります。その予防と対策について、医師・看護師に語って頂きました。

感染管理認定看護師から

看護師 小池 美穂
風疹はウィルスによって起こる感染症です。多くの人は自然に治り、後遺症がのこることもほとんどありません。ただ、大人が風疹にかかると子どもよりも症状が長引くのと、妊娠初期の妊婦さんが感染すると、胎児に影響を及ぼすことがあり、それが問題になっています。
風疹は患者の唾液や痰などのしぶきによって容易に他の人に感染します。また発疹がでて風疹だとわかったころにはすでに周囲に感染させているといわれています。
風疹は1度かかると大部分の人は免疫ができ、2度と風疹にかかることはありません。
しかし、人の記憶はあやふやで「昔かかったことがある」と言っている人のうち、本当にかかって免疫を持っている人は半分といわれています。
また、ある調査では20歳代の男性の10人に1人、成人男性の5人に1人は抗体を持っていませんでした。
妊婦さんの感染を防ぐためには、妊娠する可能性のある女性だけでなく、夫など同居している家族がワクチン接種をすることが有効です。流山市は妊娠を希望している女性とその配偶者や同居者、妊娠している女性の配偶者や同居者に対して助成を開始しました。流山市のホームページなども参考にして下さい。
産婦人科医から

医師 川島 佳
妊娠中に風疹にかかると、どうなるの?
妊婦さんも大変ですが、おなかの胎児にも感染して「先天性風疹症候群」を引き起こします。生まれた赤ちゃんに眼症状(白内障や緑内障)、先天性心疾患、難聴などがみられます。その危険性は妊娠の早い時期ほど高く、妊娠4〜6週で100%、7〜12週で80%、13〜16週で6%、20週以降では0%です。最終月経前に発症した場合は0%です。
妊婦さん本人の症状がなければ大丈夫?
妊婦さんが風疹にかかっても症状が出ない「不顕性感染」が15%あります。その場合でも「先天性風疹症候群」は起こります。
予防は? 風疹の抗体価がいくつなら大丈夫?
まず妊娠の初期に、風疹に対する抵抗力をしめす抗体価(HI)測定を行います。抗体の値が32倍以上あれば感染の心配はいりません。16倍以下の方は感染する危険性があるため、人ごみや子供の多い場所を避け同居家族への風疹ワクチン接種をお勧めします。また256倍以上の方は最近感染した可能性があります。詳しい検査をして下さい。
予防接種を受ける時期はいつがいいですか?
これから妊娠予定の方は、接種後2ヶ月は避妊をして下さい。妊娠中の方は、風疹ワクチンの接種は受けられません。妊娠が終了してから接種をしてください。授乳中の風疹ワクチン摂取は問題ありません。
また、予防接種を受けた後で妊娠に気づいたという場合、それで「先天性風疹症候群」が起きたという報告はありません。
小児科医から

医師 太田 真樹
風疹は「三日はしか」ともいわれています。細かい紅色丘疹状の発疹が顔面、耳介、頸部に出現、全身へと広がり、3〜5日程度で消失します。発疹が出る前に咳、鼻汁、微熱、頭痛、倦怠感、結膜炎等が見られることもあります。熱は発疹と同時に出現し、2〜3日で下がります。高熱になることは稀です。また耳介後部、頸部、腋下にかけてのリンパ節の腫脹は特徴的です。
発疹出現前から現われ、発疹消失後も数週間にわたり続くことがあります。身体所見のみで風疹を診断することは小児科医でも難しく、採血による抗体検査が必要になります。
治療としては、風疹ウイルスに有効な薬剤はなく、解熱鎮痛薬等の対症療法のみとなります。
予防としては、麻疹風疹混合(MR)ワクチンの接種を、第1期(1歳児)と第2期(小学校入学前年度の1年間)の計2回行います。
保育園、幼稚園、学校は発疹が消失するまで出席停止となります。小児科受診時は隔離対応となりますので、事前に電話で確認して下さい。
歯科コーナー「知っていました?」〈隔月掲載〉
舌の機能とお手入れ 〜きれいな舌はエチケット〜
東葛歯科 歯科衛生士 長尾 瞳

よく患者さんに「舌も磨いた方がよいですか?」と質問されます。今回は舌の機能と清掃についてご紹介します。
舌は、重要な役割を持っています。食べ物の摂取や味を感じたり、会話など、どれも大切な機能ですが、中でも大きな役割は味覚を感じるセンサーとしての働きです。
味覚を感じる味覚回路はおおよそ5歳くらいまでに形成されると言われますが嗜好としての味覚、いわゆるおいしさは、嗅覚や触覚などの五感や食の経験、学習、記憶などにより総合的に判断されると言われています。このような重要な役割を持つ舌は、常に清潔にしておきたいものです。舌に付着した汚れは特に口臭の原因に大きく関係します。舌の表面には舌苔(ぜったい)と呼ばれる細菌のかたまりや舌のアカなどが付着しています。これが、大量に付着していると臭いがします。必ず取らなくてはいけないということではありませんが、エチケットとして週に何回かは軽く磨きたいですね。ただし、ゴシゴシ磨くと舌を傷つけたり、味覚を感じる味雷まで削ってしまうので注意が必要です。
清掃用具は舌ブラシや、ガーゼでのふき取り、綿棒など。あくまでも軽く、表面をさっとなでる程度に全て取る必要はありません。口臭対策には、舌苔の手入れは“ぜったい”必要なんです。
シリーズけんさ81
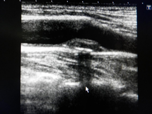
頸動脈エコー検査②
臨床検査技師 室伏 延江

頸動脈のエコー画像。上の黒い部分が血液の通り道。
中央の盛り上がりがプラーク。
検査では、首の表面にある頸動脈と、首の後ろ側にある椎骨動脈を中心に観察します。血管専用の特殊な機器を首にあて、計測します。
①血管の形の変化
血管壁の厚みを測ります。正常値は1.0㎜以下です。1.1㎜を超えると脳梗塞の発症率が高くなるとされています。また、プラーク(コレステロールなどの塊が血管内の壁にについたもの。画像中央の盛り上がり部分)の有無を確認します。プラークは脳に飛んで血管を詰まらせる可能性があるもので、柔らかく新しいものほど血管からはがれやすいのです。超音波では、プラークの形や大きさを観察したり、プラークの硬さを推測します。
②血管の狭さ、閉塞(塞がり状況)の有無
血液の流れを色分けし、プラークによる血管内腔(内側の空洞)の狭さや、血流の速さを測定します。
頸動脈の狭さが70%を超えると、脳梗塞などの発症率が上昇し、飲み薬だけでは脳梗塞を予防することが難しくなり、外科的な治療で血管を広げていくのが良いとされています。
検査は20分程度で終了します。動脈硬化をご心配の方は、ぜひ検査を受けてみてはいかがでしょうか。
東葛病院・付属診療所の医療活動(2013年4月分)
付属診療所1日平均外来患者数 | 802人 | ||
---|---|---|---|
東葛病院 | 1日平均救急・夜間外来患者数 | 47人 | |
1日平均入院患者数 | 297人 | ||
手術件数 | 106件 | ||
主な検査 | 血管造影 | 33件 | |
内視鏡 | 469件 | ||
CT | 899件 | ||
MRI | 308件 | ||
心電図 | 1701件 | ||
腹部エコー | 355件 | ||
心エコー | 349件 | ||
救急患者数 | 1415件 | ||
内 救急車搬入件数 | 198件 |
掲載日:2013年6月1日/更新日:2024年10月25日